まったく新しい
ホワイトニング体験
白い歯を、オンラインで。

Pricing
料金プラン
ホワイトニングキットを毎月ご自宅に配送
結果に満足したらいつでもストップできます
結果に満足したらいつでもストップできます
マウスピースをお持ちでない方
初月22,000円
次月以降11,000円
✓ ホワイトニングキット
✓ マウスピース作成
マウスピースをお持ちの方
初月11,000円
✓ ホワイトニングキット
※料金はすべて税込です。
※1キットあたりの料金です。
※1キットあたりの料金です。
<配送・決済について>
◯初回の配送オンライン診療後に決済いただき、2営業日以内に発送します。
マウスピースの作成もある場合、さらに1週間ほどお時間をいただきます。
◯2回目以降の配送初回決済の翌月同日に2回目の決済が自動で行われます。
翌月に同日がない場合は1日前に決済されます。
決済後、2営業日以内に発送します。処方する回数については、ドクターの診療に基づき決定します。
◯初回の配送オンライン診療後に決済いただき、2営業日以内に発送します。
マウスピースの作成もある場合、さらに1週間ほどお時間をいただきます。
◯2回目以降の配送初回決済の翌月同日に2回目の決済が自動で行われます。
翌月に同日がない場合は1日前に決済されます。
決済後、2営業日以内に発送します。処方する回数については、ドクターの診療に基づき決定します。
Results
症例
次はあなたの番です

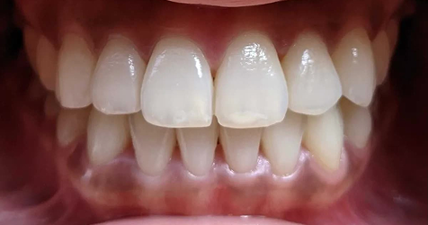
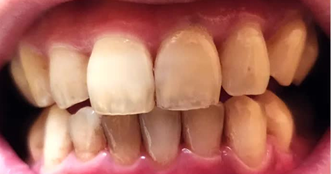
Before

After
20代 | 女性 | 喫煙家
期間:1ヶ月
総額:11,000円 (税込)
施術内容:ホワイトニングジェル(濃度10%)を用いて歯を白くします。
リスク:個人差がありますが、歯がしみる場合があります。ホワイトニングキットには、知覚過敏抑制剤を同梱しています。
※保険適用外の自由診療となります。
※効果や感じ方には個人差があります。
リスク:個人差がありますが、歯がしみる場合があります。ホワイトニングキットには、知覚過敏抑制剤を同梱しています。
※保険適用外の自由診療となります。
※効果や感じ方には個人差があります。

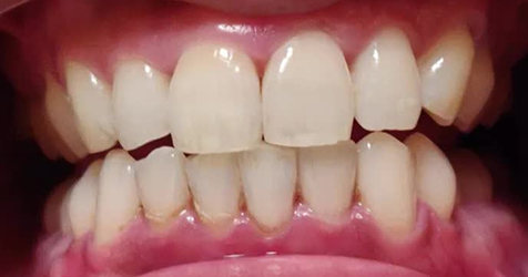
Before

After
30代 | 男性
期間:2ヶ月
総額:22,000円 (税込)
施術内容:ホワイトニングジェル(濃度10%)を用いて歯を白くします。
リスク:個人差がありますが、歯がしみる場合があります。ホワイトニングキットには、知覚過敏抑制剤を同梱しています。
※保険適用外の自由診療となります。
※効果や感じ方には個人差があります。
リスク:個人差がありますが、歯がしみる場合があります。ホワイトニングキットには、知覚過敏抑制剤を同梱しています。
※保険適用外の自由診療となります。
※効果や感じ方には個人差があります。
きっかけは、
オンライン会議。
オンライン会議。
人と話すとき、相手の歯の黄ばみが
気になる人は意外と多い*。
でも、忙しいビジネスパーソンほど
歯医者に通ってケアを受けるのは難しい。
そんなあなたが自信を持って笑えるように。
診断からホワイトニング処方まで、
診療をオンラインで。
すべてのビジネスパーソンが、
もっとシンプルに、スマートに
白い歯を手に入れられる時代へ。
気になる人は意外と多い*。
でも、忙しいビジネスパーソンほど
歯医者に通ってケアを受けるのは難しい。
そんなあなたが自信を持って笑えるように。
診断からホワイトニング処方まで、
診療をオンラインで。
すべてのビジネスパーソンが、
もっとシンプルに、スマートに
白い歯を手に入れられる時代へ。
* 20~50代会社員1,208名のう60.2%の人が「相手の歯の黄ばみが気になる」と回答。Oh my teeth調べ

FAQ
もっと知りたい方へ
▷
どのくらいの期間でどれくらい白くなりますか?
毎日2時間、1ヶ月継続で1〜2トーンの白さアップを目指せます。時間をかけて白さを定着させるので、色が落ちにくく長持ちします。ただし、歯の状態や歯質によって、個人差はあります。まずはドクターによる無料の...
▷
一般的なクリニックで行うホワイトニング(オフィスホワイトニング)と比べて何が違うのですか?
オフィスホワイトニングよりも、自宅で行うホワイトニング(ホームホワイトニング)の方が、持続期間が長いです。なぜなら、毎日続けることによってジェルが徐々に、そして深く歯に浸透していくためです。オフィスホ...
▷
ホワイトニングの持続期間はどれくらいですか?
自宅で行うホワイトニングの持続期間はおよそ1年と言われています。個人差はありますが、長い人だと2年ほど白さを維持できるケースもあります。一度ホワイトニングをした方が再開する場合は、3~5日くらいでもと...
